<li id="yyyyy"><tt id="yyyyy"></tt></li>
  • <li id="yyyyy"></li>
    <tt id="yyyyy"><table id="yyyyy"></table></tt>
  • <li id="yyyyy"></li>
  • <tt id="yyyyy"></tt>
  • <tt id="yyyyy"></tt>
    <li id="yyyyy"></li>
    <li id="yyyyy"><tt id="yyyyy"></tt></li>
    人民網
    人民網>>重慶頻道>>健康>>動態

    肺小結節到底切不切?醫生提醒:不要讓肺結節成為“心結”

    2022年12月14日16:57 |
    小字號

    “切或不切,我當時很糾結。證實是早癌后,就很慶幸自己及時做了手術?!奔磳⒖祻统鲈旱耐跖浚ɑ┍硎?。

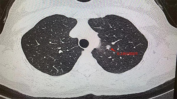
    據了解,王女士今年5月在重慶市某三甲醫院做例行體檢時,低劑量胸部CT顯示:左肺上葉尖后段有7mm*6mm的磨玻璃結節,性質待定。醫生表示有肺癌可能性,建議進一步診治。肺結節這么小,到底切不切?10月24日,王女士來到重慶西區醫院胸外科主任姚珂門診隨訪。

    姚珂介紹,結合影像學特征,王女士的肺小結節,惡性征象明顯。制定手術方案時,姚珂考慮到該患者病灶靠近主支氣管,位置較深,需要游離的血管較多,為保證精準切除病灶且最大程度保護患者肺功能,通過穿刺定位+CT三維重建引導,行單孔胸腔鏡下肺聯合亞段切術,最為合適。目前,手術取得成功。

    患者胸部CT檢查圖片。重慶西區醫院供圖

    姚珂表示,查出肺結節,應盡快咨詢胸外科醫生,結合CT影像學特征明確診斷,盲目恐慌和倉促手術都不可取,不要讓肺結節成為“心結”。肺結節也不等于肺癌,一般情況下,80%的肺結節都是良性,無須處理,按醫囑定期隨訪即可。若結節周邊比較光整,或者出現完全鈣化,即便結節體積再大,也未必一定需要手術;若結節惡性征象明顯,即便結節直徑在1厘米以下,有時也要考慮盡早手術;若肺結節有惡性征象,盡快手術切除是首選方案,因為早期肺癌預后較好,生存期長、生存質量較高,一般術后定期隨訪即可,無須放療、化療、免疫治療、使用靶向藥物治療等。若不愿手術,也可以根據病情,選擇微創介入治療、放療等。(重慶西區醫院)

    (注:此文屬于人民網登載的商業信息,文章內容不代表本網觀點,僅供參考。)

    (責編:陳易、劉政寧)

    分享讓更多人看到

    返回頂部
    一本久久综合aa亚瑟